
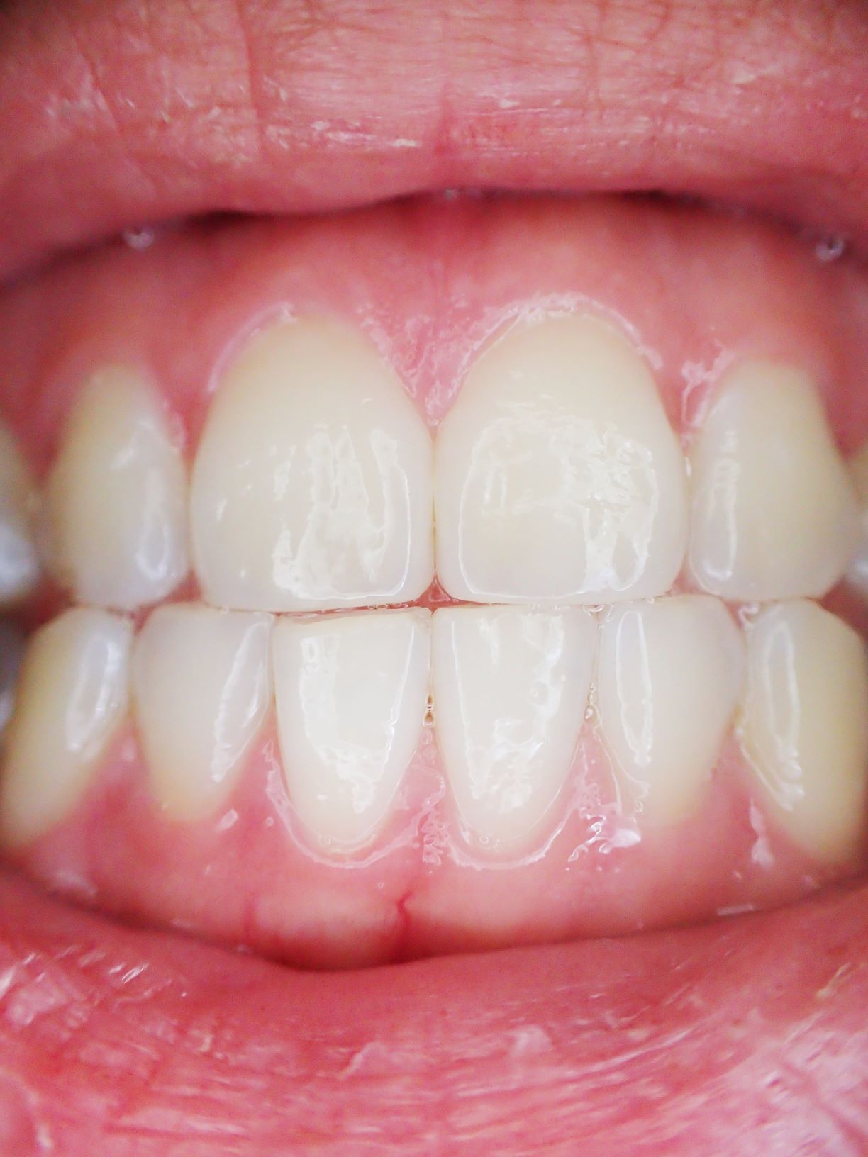
Paradontóza je zápalové poškodenie väzivového a kostného závesného aparátu zubov, parodontu. Jej prejavom je krvácanie ďasien a ich trvalý ústup, pričom sa odhalí časť zuba, ktorú ďasno prekrývalo. Hoci zubár zbaví chrup plaku, takže zápal ustúpi a ďasno sa upokojí, už sa nevráti späť, čo je zásadný problém. Zub sa uvoľní, a napokon vypadne. Riešenie ponúka novovyvinutý spôsob liečby, na ktorý prišli výskumníci z radov brnianskych stomatológov. Ide zatiaľ len o experimentálnu liečbu, má však výborné výsledky – zacelené ďasno sa vráti späť o milimeter. Nie je to veľa, no pre mnohých to znamená záchranu zuba. Nová metóda liečby spočíva vo využití granulačného tkaniva a poznatku, že kyselina acetylsalicylová a omega-3 mastné kyseliny podporujú hojivé procesy, a to aj pri paradontóze. Granulačné tkanivo vzniká prirodzene pri hojení akejkoľvek rany – tkanivo ju prerastá a následne ho organizmus nahradí novým klasickým tkanivom. Čistením chrupu sa však granulačné tkanivo odstraňuje. Brnianski stomatológovia z postihnutého miesta granulačné tkanivo zotrú a obohatia ho – na niekoľko minút ho vložia do roztoku kyseliny acetylsalicylovej a omega-3 mastných kyselín. Tkanivo sa potom vloží do miesta zápalu, kde podporuje hojenie. Testovaným pacientom sa po pol roku po zákroku podarilo získať jeden milimeter zdravého tkaniva. Niekedy záleží aj na milimetri a naša liečba ho vie zabezpečiť. Potrvá však ešte dva až tri roky, kým sa budú môcť nové poznatky využívať v praxi, povedal člen stomatologického výskumu Filip Hromčík z Masarykovej univerzity.
Zo stránky MUNI MED spracovala BP
