Opioidné ostrovy mozgu
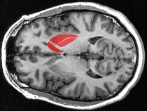
Prúžkované teleso alebo striatum je hlboká oblasť sivej hmoty vnútri hemisfér koncového mozgu a považuje sa za akési ústredie pre rozhodovanie a rozvoj rôznych závislostí. Tímu vedcov z Karolinska Institutet vo Švédsku pod vedením Konstantinosa Meletisa sa podarilo na myšiach vizualizovať organizáciu rôznych opioidných ostrovov… pokračuj

