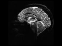
Najvýkonnejší MRI prístroj
Francúzski vedci vyvinuli MRI zariadenie vhodné pre ľudí trpiacich klaustrofóbiou, ktoré zároveň pracuje s magnetom produkujúcim rekordné magnetické pole. V posledných desaťročiach sa na diagnostické účely čoraz častejšie používajú zariadenia či prístroje pracujúce na báze zložitých fyzikálnych procesov prebiehajúcich v jadrách atómov. Jedným z takýchto… pokračuj


