Cievny systém a jeho význam pre život

Choroby srdcovo-cievneho systému sú najčastejšou príčinou úmrtí vo vyspelých krajinách. Žiaľ, ani vyspelá technika a technológie nedokážu zastaviť negatívny trend a ich počet narastá. Môžeme za to čiastočne sami – nevhodným životným štýlom.

Srdcovo-cievny systém zabezpečuje prísun živín potrebných pre život jednotlivých buniek organizmu a odvod odpadových látok. Zdokonaľoval sa postupne tak, ako sa vyvíjali organizmy. Organizmy vývojovo nižšie ako ploché červy nemajú cievny systém. Výživu ich buniek zabezpečuje bohato rozvetvený tráviaci systém a výmena plynov prebieha na povrchu celého tela. Formovanie srdcovo-cievneho systému sa začína pri organizmoch až na pomerne vysokom stupni vývoja, vtedy, keď veľkosť organizmu začína byť brzdou pri udržiavaní životných potrieb jednotlivých buniek. Vyvinutejšie živočíchy majú otvorený obehový systém (krv vytláčaná primitívnym srdcom omýva jednotlivé bunky a vracia sa žilami späť). Vývojovo najrozvinutejšie stavovce vrátane človeka majú obehový systém uzatvorený (krv neopúšťa cievny systém). Cievny systém sa rozvinul do obrovskej rozvetvenej siete rúrok rôzneho priemeru. Keby sa cievny systém človeka spojil do súvislej rúrky, jej dĺžka by bola približne 100 000 km.

Priečny rez kapilárou. Bunka cievnej výstelky (E). Zväčšenie 21 000-krát.

Cievy menia tlak krvi

Srdcovo-cievny systém človeka sa začína vyvíjať už v 15. až 16. dni po počatí (embryo má vtedy veľkosť približne 0,3 mm). Na konci tretieho týždňa začína v ľudskom embryu prúdiť krv. Srdcovo-cievny systém je tak prvým systémom, ktorý začína fungovať.
Tepny a žily vyšších živočíchov majú podobnú štruktúru. Skladajú sa z troch vrstiev navzájom oddelených elastickou membránou: vnútornej, strednej a vonkajšej. Vlásočnice tvorí len jedna vrstva endotelových buniek. To sú bunky, ktoré lemujú celý cievny systém, od srdca až k najmenším kapiláram. Cievy dokážu meniť tlak krvi v systéme aktivitou strednej vrstvy cievnej steny – hladkosvalovými bunkami. Tie sú schopné podľa prichádzajúcich podnetov z vnútornej a vonkajšej vrstvy meniť svoju dĺžku (rozťahovať sa a sťahovať), a tým meniť priesvit a tlak v cieve. Následkom je zmena zásobovania jednotlivých orgánov krvou podľa ich momentálnej potreby. Napríklad po jedle prednostne zásobujú krvou tráviacu sústavu, pri behu zase svaly atď.

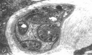
Priečny prierez zväzkom nervových vláken so zdureninou (hviezdička) obsahujúcou neurotransmitery. Zväčšenie 10 000-krát.

Zásobenie cievnej steny

Nervový systém vytvára sieť rozprestierajúcu sa vo vonkajšej vrstve. Vo väčšej vzdialenosti od hladkosvalových buniek sa v nej nachádzajú veľké nervové zväzky, ktoré obsahujú stovky nervových vláken. Z týchto zväzkov odstupujú menšie nervové zväzky nielen smerom k hladkosvalovým bunkám cievy, ale často aj do priľahlých orgánov. Napríklad z veľkých nervových zväzkov nachádzajúcich sa v koronárnych artériách odstupujú aj vetvy prestupujúce srdcový sval. Pri chirurgických zákrokoch na vencovitých cievach vzniká nebezpečenstvo poškodenia týchto zväzkov. Nervové vlákno je výbežok nervovej bunky, ktorá môže sídliť vo veľkej vzdialenosti (aj desiatky centimetrov) od miesta, ktoré ovplyvňuje. Po rozpadnutí sa veľkých zväzkov na menšie len s niekoľkými vláknami sa na nervovom vlákne vytvárajú zdureniny, v ktorých sa nachádzajú neurotransmitery (látky prenášajúce vzruchy v nervovej sústave schopné ovplyvňovať aktivitu hladkosvalových buniek).

Obnažená dierkovaná (šípka) elastická membrána po odstránení výstelkových buniek (pohľad z vnútra cievy). Zväčšenie 150-krát.

Ako regulujeme hladkosvalové bunky?

Významnú úlohu zohráva aj vnútorná stena cievy, ktorú tvorí vrstva výstelkových (endotelových) buniek. Tieto bunky majú v ľudskom organizme celkovú hmotnosť približne 1,5 kg (ich hmotnosť je porovnateľná s hmotnosťou pečene). Od hladkosvalových buniek v cieve ich oddeľuje elastická membrána s otvormi. Pôvodne vedci predpokladali, že výstelkové bunky fungovali len ako akési dlaždice umožňujúce hladší prietok krvi. V 80. rokoch minulého storočia sa zistilo, že sa v nich uvoľňuje oxid dusnatý. A odhalenie prišlo čoskoro. Vedci si všimli, že má relaxačný vplyv na hladkosvalové bunky a jeho vplyvom sa zväčšuje priemer ciev a znižuje tlak krvi. Zistili, že dlhodobo znížená produkcia oxidu dusnatého v organizme vyvoláva trvalo zvýšený krvný tlak. Pacientovi stačí podávať nosiče produkujúce oxid dusnatý a jeho problém s krvným tlakom sa do istej miery vyrieši. Desiatky tisíc prác sa venujú úlohe oxidu dusnatého v organizme. Pri odhaľovaní mechanizmov, ako pôsobí na srdcovo-cievny systém, sa s prekvapením zistilo, že sa v liečení niektorých srdcových chorôb nevedomky využíva už viac ako 150 rokov.

Tento článok si môžete prečítať v časopise Quark 02/2012. Ak chcete mať prístup aj k exkluzívnemu obsahu pre predplatiteľov alebo si objednať tlačenú verziu časopisu Quark, prihláste sa alebo zaregistrujte.