Toxikológia skúma škodlivé účinky chemických látok a pomáha nám pochopiť, aké riziká sú s nimi spojené a ako ich minimalizovať. O testovaní bezpečnosti chemických látok a nových metódach, ktoré nahrádzajú testy na zvieratách, sme sa rozprávali s Helenou Kanďárovou, riaditeľkou Ústavu experimentálnej farmakológie a toxikológie Centra experimentálnej medicíny SAV, v. v. i.
Čím sa zaoberá toxikológia?

Toxikológia je vedná disciplína, ktorá sa zaoberá skúmaním nežiaducich účinkov rôznorodých látok na živé organizmy vrátane ľudí. Jej cieľom je porozumieť, ako tieto látky ovplyvňujú naše zdravie a životné prostredie a tiež ako ich možno riadiť a minimalizovať ich negatívne účinky. V toxikológii skúmame rôzne aspekty toxických látok vrátane miery a spôsobu vystavenia a reakcií živých organizmov na tieto látky.
Aký je profil typického toxikológa?
Keďže ide o veľmi rozmanitú a interdisciplinárnu vedu, je potrebné kombinovať vedomosti z mnohých odborov. V toxikológii nachádzajú uplatnenie lekári, veterinári, chemici, farmaceuti, ale napríklad aj odborníci na programovanie, zobrazovanie a spracovanie veľkého množstva dát. Práca toxikológov v rôznych priemyselných odvetviach je ovplyvnená typom vyrábaných látok a príslušnou legislatívou.

Dr. rer. nat., Ing. Helena Kanďárová, ERT, je slovenská vedkyňa s dlhoročným záujmom o vývoj, validáciu a implementáciu alternatívnych metód, ktoré nahrádzajú pokusné zvieratá v regulatívnej toxikológii. Má viac ako 13-ročnú skúsenosť zo súkromného sektora – pracovala pre americkú biotechnologickú spoločnosť zameranú na tkanivové inžinierstvo. Počas svojej kariéry založila a viedla Európsku centrálu tejto spoločnosti po dobu desiatich rokov. V súčasnosti pôsobí v Centre experimentálnej medicíny (CEM) SAV, v. v. i., a od marca 2023 zastáva pozíciu riaditeľky Ústavu experimentálnej farmakológie a toxikológie CEM SAV. Na Fakulte chemickej a potravinárskej technológie STU prednáša predmet bunkové a tkanivové kultúry.
V roku 2020 sa stala prezidentkou Európskej spoločnosti pre toxikológiu in vitro a organizovala niekoľko medzinárodných kongresov vrátane prestížneho európskeho kongresu toxikológov EUROTOX 2017 v Bratislave. Za svoju prácu získala mnohé ocenenia, napríklad Doerenkamp-Zbinden Memorial Award, Björn Ekwall Memorial Foundation Award, EUROTOX Lecture Award a Lush Prize. V roku 2020 bola finalistkou L’Oréal – UNESCO For Women in Science Slovakia. Je tiež viceprezidentkou Slovenskej toxikologickej spoločnosti SETOX a spoluzakladateľkou Slovenskej národnej platformy pre princípy 3R (z angl. reduce, refine, replace; redukovať, zlepšiť, nahradiť) vo vede a výskume. Pôsobí ako národná expertka pre vybrané témy v komisii pre topickú toxicitu Organizácie pre hospodársku spoluprácu a rozvoj a pri EURL-ECVAM JRC pre oblasť validácie alternatívnych metód.
Vo vede je to zasa najčastejšie záujem výskumných tímov dozvedieť sa viac o nežiaducich účinkoch napríklad potenciálnych liečiv, surovín a výrobkov určených pre spotrebiteľov vrátane potravín, zdravotníckych pomôcok, chemických prípravkov či agrochemikálií. Úlohou toxikológa je chrániť verejné zdravie.
Prečo sa vyvinuli testy chemických látok na zvieratách?

Ak sa na túto otázku pozrieme v širšom kontexte, tak testovanie na zvieratách využíval človek najmä na dva hlavné účely – zistiť účinky rôznorodých látok, či už pozitívne, alebo negatívne, a usilovať sa ochrániť zdravie človeka, ale aj ekosystému.
Cielené a štandardizované testovanie bezpečnosti chemických látok sa začalo najmä v dôsledku početných otráv spotrebiteľov, a to predovšetkým začiatkom 20. storočia, keď nastal technologický boom. Na trhu sa objavili syntetické liečivá, ale aj škodlivá kozmetika a potraviny s toxickými prímesami alebo účelovým pridaním látok. Tie mali vyvolať určitý pozitívny efekt, napríklad predĺženie spotreby či zlepšenie výzoru výrobku alebo aj jeho používateľa, no v konečnom dôsledku spôsobili poškodenie zdravia najmä pri opakovanom použití.
V tom čase bolo používanie experimentálnych zvierat takmer jedinou dostupnou možnosťou, ako zistiť nežiaduce účinky. Zo začiatku sa používali na experimenty zvieratá, ktoré boli odchytené vo voľnej prírode. Až neskôr sa pristúpilo k cielenému chovu štandardizovaných druhov a kmeňov, ktoré sa v toxikológii doteraz používajú na špecifické účely testovania.

Do akej miery sa v súčasnosti používajú?
Všeobecne sa predpokladalo a predpokladá, že biologické procesy a reakcie zvierat na chemické látky sú podobné reakciám v ľudskom organizme. Tento názor však čoraz väčšmi naráža na zistenia posledných dvoch dekád, keď sa jednoznačne preukázali rozdiely jednak v účinnosti, ale aj toxicite niektorých liečiv.
V súčasnosti sa vyvíjajú nové metódy, ktoré by mali postupne nahradiť testovanie na zvieratách, prípadne znížiť ich použitie na minimum. Zároveň sa na tieto nové metódy vzťahuje požiadavka prediktivity pre ľudské zdravie. Realita je však taká, že laboratórne zvieratá sa naďalej vo veľkej miere používajú nielen na vedecké účely, ale aj v dôsledku legislatívnych požiadaviek ochrany ľudského zdravia.
Čo hovorí európska legislatíva o testovaní na zvieratách?

Európska legislatíva má v súčasnosti relatívne striktné pravidlá a smernice, ktoré upravujú testovanie na zvieratách. Jedným z nosných pilierov tejto legislatívy je minimalizovať a postupne nahradzovať používanie živých zvierat v experimentoch a testoch, ak je to možné. Smernica o ochrane zvierat používaných na vedecké účely (2010/63/EÚ) a jej doplnenia sú kľúčovými právnymi dokumentmi, ktoré upravujú ochranu zvierat používaných na vedecké a experimentálne účely v rámci celej EÚ. Zavádza prísne podmienky na používanie zvierat v experimentoch a vyžaduje, aby sa používali len vtedy, keď neexistujú alternatívne metódy.
Na druhej strane, európska legislatíva v oblasti REACH (t. j. chemické látky), ale aj iné smernice, napríklad pre liečivá, potraviny, pesticídy, zdravotnícke pomôcky, vyložene požaduje konkrétne testy na zvieratách. Kozmetická legislatíva ich v EÚ zasa úplne zakazuje, ale dostáva sa tým do rozporu s legislatívou REACH, ktorá reguluje chemické látky vrátane kozmetických surovín. Vzniká tu tak akási legislatívna schizofrénia, keď sa jedna legislatíva bije s druhou.

Aké sú alternatívne metódy testovania bezpečnosti chemických látok?
Je ich naozaj veľa a sú v rôznych štádiách vývoja, validácie a legislatívnej implementácie. V súčasnosti im už nehovoríme alternatívne, ale metódy nového prístupu tzv. NAMs (New Approach Metodologies), keďže mnohé z nich už slúžia ako čiastočná, ale aj úplná náhrada testov in vivo.
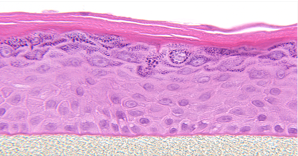
Sú to napríklad testy na bunkách a bunkových líniách, na 3D tkanivových modeloch, in vitro tkanivá a orgány na čipe, počítačové modelovanie a simulácie a využívanie poznatkov získaných z existujúcich údajov a predikčných modelov tzv. QSAR-y (kvantitatívna analýza štruktúry a aktivity). V posledných rokoch sa k týmto metódam pridávajú koncepty využitia umelej inteligencie a strojového učenia, ktoré vedia spracovať a vyhodnotiť kvantum dát a prinášať vylepšené predikcie účinku a toxicity látok. Cieľom je nielen minimalizovať potrebu testov na zvieratách, ale aj vyvíjať postupy, ktoré sú presnejšie, rýchlejšie a eticky prijateľnejšie.
Za rozhovor ďakuje redakcia Quarku
Foto archív H. Kanďárovej
